Welcome!

Welcome to a developing home for our research group, lead by Prof. Peder Larson and working closely with a network of researchers and clinicans. We love to tackle problems in medical imaging using engineering-driven approaches to improve human health. Our work mostly focuses on MRI (although we dabble in CT and PET) and on projects that at or near the stage of human studies.

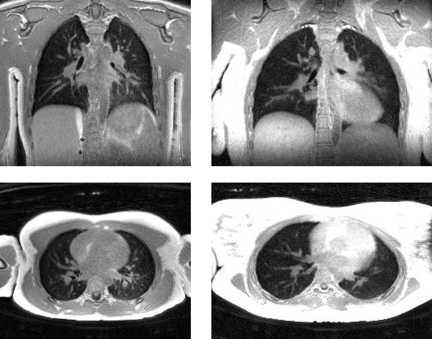
We work on a range of projects, taking on new ones opportunistically, and projects currently include Metabolic MRI with hyperpolarized contrast agents, Simultaneous PET/MR imaging systems, Lung MRI, Myelin MRI, Radiation treatment planning, and Prostate and kidney cancer prediction based on historical imaging data.

This website focuses on Research Resources, including a blog, research project descriptions, and software packages. More information about the group is available at our UCSF Group Website for more information.